![]() |
|
![]() |
Departments
- Existing Services
- Outpatients
- Out-patient Services
- Research Project
- Bone transport
- total hip replacement on hips with u…
- Training and Education
- Research Project
- In-patient services
- In-patient Services
- Future Development
- rivision total hip replacement for d…
- Advantages
- In-patient Services
- Future Development
- Research Project
- Training and Education
- Margel+ Brooks
- Future Development
- Specialist staffs
Department of Adult Joint Reconstructive Surgery
rivision total hip replacement for dislocation and severe bone defect

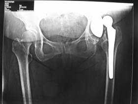
(pre-op) rivision total hip replacement for dislocation and severe bone defect

(post-op)rivision total hip replacement for dislocation and severe bone defect

anterior-posterior view of left hip

lateral view of left hip

lateral view of left hip

anterior-posterior view of left hip

anterior-posterior view of left hip

anterior-posterior view of bilateral hips


