新闻报道
【积医科普】得了甲状腺结节,大可不必“谈结色变”
近年来,随着常规体检的普及,甲状腺结节越来越常见,超声检出率达20%-76%,而甲状腺癌的发病率也呈上升趋势,一跃成为发病率增长最快的实体肿瘤,引起人们广泛的关注,不少患者为此产生恐慌心理。其实,只要清楚了解甲状腺结节产生的原因,在专业医生的指导下科学的进行评估和治疗,大家大可不必“谈结色变”。
一、什么是甲状腺结节?
甲状腺结节是甲状腺内肿块的统称,可分为囊性结节、增生性结节、炎性结节及肿瘤性结节,而肿瘤性结节又分为良性腺瘤及恶性肿瘤(包括乳头状癌、滤泡细胞癌、未分化癌、髓样癌等)。其中,恶性结节只占很小一部分(大约5%-15%)。事实上,高分辨率甲状腺超声广泛应用于常规体检后大量甲状腺微小癌(直径<1cm)被检出,导致甲状腺癌的总体发病率飙升,但甲状腺癌的死亡率并未大幅度提高,因此,大可不必“谈结色变”。
二、甲状腺结节的病因?
甲状腺结节的病因并不十分清楚,可能与以下多种因素有关:
1. 碘缺乏或碘过量。
2. 自身免疫功能紊乱。
3. TSH刺激。
4. 家族基因遗传。
5. 放射性污染、环境污染物。
6. 病毒或细菌感染引起的炎性病变。
7. 情绪焦虑、抑郁等。这些因素可能影响甲状腺结节的发生发展。
三、甲状腺结节对身体是否有害?
甲状腺结节对身体有没有危害,主要取决于结节的良恶性、大小及甲功状态。
1. 良恶性:大部分良性结节对身体基本无害,只需每6-12个月复查1次即可;恶性结节(即甲状腺癌)可威胁生命健康,需要及时、合理的治疗。事实上,绝大多数甲状腺癌治疗预后较好,患者可长期生存。
2. 体积大小:小结节通常无不适症状,大结节可能对周围神经、气管或食管产生压迫,导致声音嘶哑、呼吸困难、吞咽困难等。
3. 甲功状态:绝大多数结节为无功能结节,只有极少数可以自主分泌甲状腺激素,导致甲亢,患者表现为怕热、多汗、心慌、手抖、失眠、消瘦、腹泻、月经失调等,需要及时治疗。
四、哪些情况提示恶性结节,需要如何处理?
结节在短期内迅速增大,出现声音嘶哑、呼吸困难、吞咽困难等,超声除外囊性结节出血后即应考虑恶性结节可能。
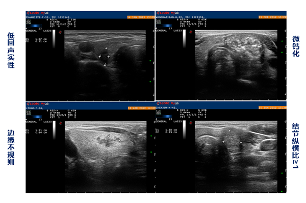
另外,恶性结节的超声特点主要包括以下方面:
1. 低回声或极低回声;
2. 边缘不规则、模糊或外侵;
3. 结节内多发点状钙化;
4. 结节呈垂直性生长-纵横比大于1;
5. 淋巴结皮髓结构不清,门结构消失,出现液化、囊性变或多发钙化等。(图1:甲状腺结节超声恶性征象)
最新的2020年中国甲状腺影像报告及数据系统(C-Tirads)主要根据上述超声特征采用积分制对甲状腺结节的良恶性进行分级评估,可为进一步制订处理方案提供依据(图2:C-Tirads分级2020版)。对于C-Tirads积分及评级较高的结节建议积极完善超声引导下甲状腺细针穿刺病理学活检(FNA),必要时还可联合分子基因诊断(如Braf V600E等),指导治疗方案的制订(图3:FNA诊断流程)。
图1

图2
图3
五、结节都需要治疗吗?
对于良性甲状腺结节,除非结节体积较大、影响外观、出现压迫症状或反复出血,一般不需处理,定期复查随访即可。
但对于合并下列情况的结节则需考虑手术治疗:
1. 穿刺活检提示恶性。
2. 增长迅速、高度怀疑恶性。
3. 体积大、出现压迫症状。
4. 合并甲亢(手术或碘131治疗)。
5. 反复出血等。
六、甲状腺结节如何复查?
结节良恶性诊断受结节大小、特征及超声医师经验等多种因素的影响,因此,初次检出甲状腺结节的患者应积极随访,可于3-6个月后复查,以后依据实际情况每6-12个月复查超声。对高度怀疑恶性结节者,建议行超声引导下甲状腺细针穿刺病理学活检(FNA),根据细胞学病理结果制订治疗或随访方案。
七、甲状腺结节患者是否需要限碘?
除了合并甲状腺功能亢进或行碘131治疗前的患者需要严格限碘之外,单纯无功能的甲状腺结节不需要限碘,可以正常饮食。另外,合并桥本甲状腺炎的患者,虽不需要限碘,但也要避免高碘饮食,如海带、紫菜、干贝等食物。
总而言之,随着生活质量及医疗水平的提高,甲状腺结节的检出越来越普遍,需要引起大家的关注,但亦勿需“谈结色变”,建议在内分泌科、普外科专科医师的指导下进行科学地评估及处理。
图丨网络
编辑丨靳晓方 于淼
校对丨于




