新闻报道
【医患一家】普外科成功开展PinPoint荧光腹腔镜精准肝切除手术

近日,我院普外科又成功开展一例Pinpoint荧光腹腔镜肝叶切除手术。普外科吴全副主任医师在切除病灶的同时,最大限度地保留了正常肝组织,保障了患者今后的生活质量。

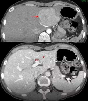
患者为一例年轻女性,发现左肝S2、3段占位病灶三年余,就诊时肿瘤已缓慢进展至6cm大小。手术前的影像学评估考虑病变为良性的肝脏腺瘤或局灶性结节增生,由于肿瘤尾侧端非常贴近左侧肝蒂且与正常肝实质区分不显著,如能顺利行左肝外叶II、III段的切除会比较理想,但恐怕会存在肿瘤与左侧肝蒂结构难以分离的情况,若实施左半肝切除对于良性病变而言损失过多正常肝组织会比较惋惜。手术主刀医师吴全医生经过慎重考虑后决定使用Pinpoint荧光显像导航技术为患者施行腹腔镜下的精准肝切除手术。

吴全医生此前有实施荧光腹腔镜半肝切除的技术经验,经过精心准备,谨慎操作,最终将6cm的肝脏肿瘤顺利完整切除,同时最大限度的保留了正常肝组织,腹部仅需开4个1cm的小孔,1个3cm左右的切口取出标本,手术核心时间约3小时,出血不多,一周后患者顺利康复出院。

目前腹腔镜下肝脏切除手术是治疗肝脏肿瘤的标配方式,以往在腔镜手术中循肝静脉走行保证劈肝平面不跑偏很考验肝外科医师的功力。新近开展应用的 Pinpoint荧光显像导航技术是利用吲哚青绿(Indocyanine Green, ICG)荧光染料做为标记物,这种染料由肝细胞吸收从胆道排泄,由于肿瘤细胞摄取ICG后比健康肝细胞排泄得慢,易发生滞留,故利用这一特性将肿瘤或要切除的肝段用ICG进行标记,再用700-800nm波长的光波照射,被染料标记部分可发射λ840nm的光波,最后经特制装置接收并转换为荧光或彩色荧光呈现至显示器。借助这漂亮的荧光,肝脏外科医师就能够在断肝的过程中直观地看到需要切除的肝脏与需要保留的肝脏之间的分界线,有了清晰的路标指引,手术刀即能始终保持在正确的离断平面上,不会因为走歪而导致病肝切除不够或健侧肝组织损失过多,可以说荧光腹腔镜是开展微创、精准肝切除的一大利器。
专家介绍
擅长:腔镜微创手术治疗肝内外胆管结石、胆囊结石,胆囊癌、肝血管瘤,肝胆及胰腺肿瘤、胃结直肠癌伴肝转移综合治疗,包括介入栓塞化疗、射频消融。
新龙泽院区门诊:周二上午
回龙观院区门诊:周三上午
文图丨普外科
编辑丨靳晓方 于淼




